The carpal joint
The carpal joint is a complex, three-level hinge joint. The three levels are the antebrachiocarpal joint, the intercarpal joint, and the carpometacarpal joint. Most of the movement in the carpus occurs at the antebrachiocarpal joint with the other two joints being low motion joints.
The majority of problems with the carpal joint tend to be with ligaments and tendons that insert in and around the joint. There is a very important structure in dogs and cats called the palmar ligament which allows animals to bear weight with the carpus remaining upright. Dogs can suffer from degeneration or trauma to the palmar ligament and this causes the carpus to ‘sink’ to a palmigrade stance. Collateral ligament injuries are another issue seen from time to time, as well as tendon conditions.
Fractures to the bones of the carpus can occur through trauma or certain activities (e.g. racing Greyhound). Injuries to the carpus are often best imaged using CT scanning because of the complex nature of the joint.

Palmar ligament injury
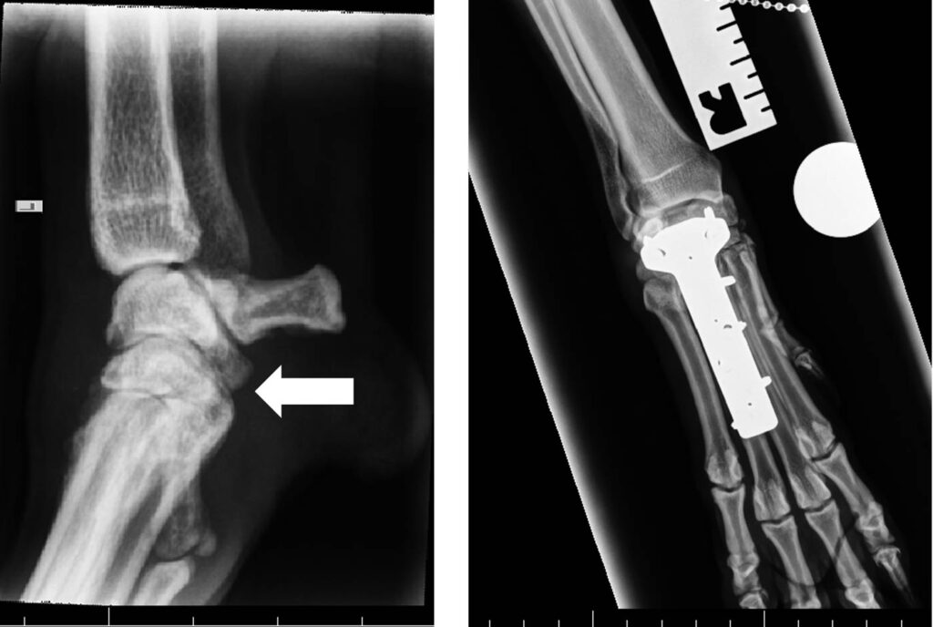
Injury or degeration of the palmar ligament can cause the carpus to ‘sink’. Failure of the palmar ligament can occur at one or more levels and it is important to assess the injury carefully. Splinting or casting of such injuries is destined to fail and surgery is receommended. However, careful assessment of the injury is required because if the antebrachiocarpal joint is unaffected, and can be saved, this has important long-term consequences for the dog. If this is the case, partial carpal arthrodesis can be performed using specially designed plates and bone graft.

If the antebrachiocarpal joint is affected, full fusion (pancarpal) arthrodesis can be performed and will restore function in the short-medium term although arthritis of neighbouring joints is likely in the long term. Careful assessment of these injuries with a specialist is recommended so that clients can make infiormed decisions for their pet.

Publications from Movement Vets surgeons on carpal problems
Innes, JF, McKee WM, Mitchell RAS, Lascelles BDX, Johnson KA (2001). “Surgical reconstruction of ectrodactyly deformity in four dogs.” Veterinary and Comparative Orthopaedics and Traumatology 14(4): 201-209.
Tidswell, HK, Innes JF, Avery NC, Clegg PD, Barr ARS, Vaughan-Thomas Wakley AG and Tarlton JF (2008). “High-intensity exercise induces structural, compositional and metabolic changes in cuboidal bones – findings from an equine athlete model.” Bone 43(4): 724-733.